Vein occlusion and diabetic retinopathy





508
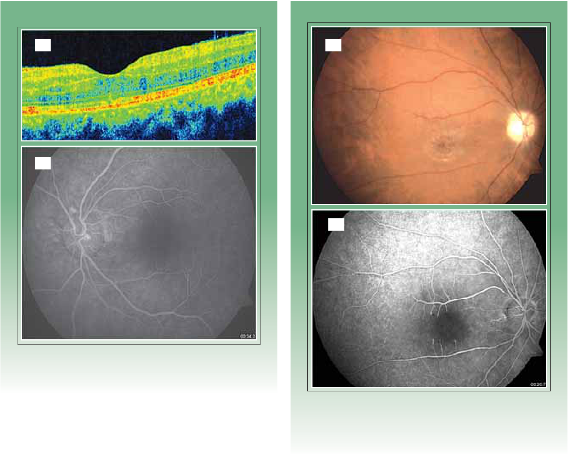
duration. The patient also had cerebral infarction. The vision ��� ���� ��������� ���� ���� ������ ��������� ������ ��� ������ ������������ ��� ���� ����������� ���� ������� ������ ���� ����� ������������� �������������� �������� ���� ������������ ������������showed pruning of the macular vessels in the perifoveal region. (Figure 3b)
There are only 36 reports of macular infarction published in ����������������������������������������������������������������to be pharmacological (aminoglycoside toxicity). The other causes are due to vascular stasis (sickle cell disease) and prothrombotic states (thrombotic thrombocytopenic purpura, disseminated intravascular coagulation). To propose an etiopathogenesis in our cases we analyzed the literature on the associated systemic states. Macular infarction after hemodialysis was ascribed to increase in blood viscosity during hemodialysis; a mechanism proposed as a cause of myocardial infarction after dialysis.1 In post-transplant erythrocytosis the raised hematocrit was the obvious cause as the macular edema resolved after restoration of haematocrit to normal. Vascular sludging in post-transplant erythrocytosis is responsible for 30% of these patients developing thromboembolic episodes.2 Loss of anticoagulant factors from the gastrointestinal tract was postulated as the cause of macular infarction in protein losing enteropathy as corroborated by similar etiopathogenesis proposed in case reports of cerebral infarction3,4 and evidence of low levels of Protein C, S and Antithrombin 3 in the present case.
| 1. Canaud B, Rodriguez A, Chenine L, Morena M etal . Hemodial Int. |
|---|
2010;14(4):433 40
2. Razeghi E, Kaboli A, Pezeshki ML, Meysamie AP, Khatami MR,
Neurol. 2007 Apr;14(4):e7-8
4. Hino H, Hirose R, Furuhashi N, Kanda T . Cerebral infarction associated
Comprehensive Strategies for Macular Edema
Harsha Bhattacharjee MS, Lokesh Jain MS, Debdulal Chakraborty DNB
Molecular and cellular alterations leading to macular edema
The breakdown of the blood-retinal barrier seems to be the most important mechanism in explaining the extravasation of fluid although similar changes to the retinal blood flow may play a role. The blood retinal barrier consists of the retinal pigment epithelium layer (outer blood retinal barrier) and the vascular endothelium (inner blood retinal barrier) that prohibit the passage of macromolecules and circulating cells from the vascular compartment to the extracellular and therefore intraretinal space.
Metabolic alterations have a causal role in diabetic maculopathy but also in inherited diseases such as the autosomal dominant form of macular edema or macular edema in retinitis pigmentosa. Furthermore, ischaemia of the inner or outer blood-retinal barrier leads to macular edema. Decreased perfusion of the retinal capillaries is seen, e. g. in vein occlusion and diabetic retinopathy, whereas ischaemia along with decreased perfusion of the choroid with associated serous retinal detachment occurs in severe hypertensive retinopathy, in eclampsia or in rheumatoid disorders. Following retinal vascular occlusion the intravascular pressure increases and leads to dysfunction of the blood-retinal barrier.
Similarly, hydrostatic forces are effective in arterial hypertension or in eyes with low intraocular pressure and may cause fluid accumulation in the macula. Mechanical traction such as in epiretinal membranes or in vitreomacular traction syndromes promotes macular
� increased endothelial cell destruction
Fluid homeostasis and endothelial permeability are mostly regulated by intercellular junctions in the non-diseased retina. The inflammatory agents increase permeability by binding to specific receptors that transduce intercellular signals, which in turn cause cystoskeletal reorganization widening of interendothelial clefts. Once leukocytes have adhered to the endothelium, a
Indirect Ophthalmoscopy provides an overall view of the
|
479 | December, 2006 |
|---|


